Perforacija septuma nakon operacije nosa – rijetka komplikacija o kojoj treba govoriti otvoreno
Može li nakon septoplastike nastati rupa u nosu? Objašnjavamo uzroke, simptome i uspješnost liječenja perforacije septuma nakon operacije.
Prim. Marcel Marjanović Kavanagh
3/2/20262 min čitanje


Perforacija septuma nakon operacije nosa – zašto nastaje, kako je prepoznati i kada je potrebno liječenje?
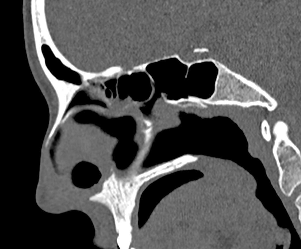
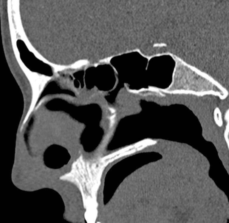
Perforacija septuma jedna je od poznatih, ali relativno rijetkih komplikacija operacija nosa. Najčešće se povezuje sa septoplastikom, ali može nastati i nakon rinoplastike ili endoskopske kirurgije sinusa.Iako je učestalost mala, posljedice mogu biti dugotrajne i funkcionalno značajne – osobito ako se defekt nalazi u prednjem dijelu septuma.
Ako želite cjeloviti pregled uzroka i terapijskih opcija, detaljnije informacije možete pronaći na stranici o perforaciji septuma nosa.
Kako nastaje perforacija nakon operacije?
Nosna pregrada obložena je sluznicom s obje strane. Tijekom operacije kirurg pažljivo odvaja sluznicu kako bi ispravio devijaciju ili pristupio dubljim strukturama.
Perforacija nastaje kada dođe do:
obostranog oštećenja sluznice
poremećaja vaskularizacije
hematoma septuma koji nije na vrijeme prepoznat
infekcije u postoperativnom tijeku
Hrskavica septuma nema vlastitu krvnu opskrbu – ovisi o sluznici. Ako obje strane sluznice izgube vitalnost, dolazi do nekroze hrskavice i stvaranja trajnog defekta.
Važno je razumjeti: perforacija najčešće nije rezultat “jedne greške”, već kombinacije faktora.
Koliko je česta perforacija nakon septoplastike?
U literaturi se navodi učestalost između 1% i 3%, ovisno o:
kirurškoj tehnici
opsegu zahvata
iskustvu operatera
kvaliteti tkiva pacijenta
Rizik je veći kod:
ponovljenih operacija (revizije)
izrazito tanke sluznice
pušača
pacijenata s poremećajem cijeljenja
prethodne traume nosa
Kod estetskih zahvata rizik može biti nešto viši ako je septum već ranije operiran.
Kada se perforacija obično otkrije?
Perforacija se najčešće dijagnosticira:
nekoliko tjedana nakon operacije
tijekom redovne kontrole
kada pacijent primijeti zviždanje ili krastice
Manje perforacije mogu ostati neprimijećene mjesecima ako ne uzrokuju simptome.
Koji su simptomi postoperativne perforacije?
Simptomi ovise o veličini i lokalizaciji.
Najčešći su:
Zviždanje prilikom disanja
Kronična suhoća
Stvaranje tvrdih krastica
Povremeno krvarenje
Osjećaj iritacije
Zanimljivo, vrlo male perforacije ponekad stvaraju izraženije zviždanje nego veće, jer turbulencija zraka prolazi kroz uzak otvor.
Može li se perforacija spriječiti?
Potpuna prevencija nije moguća, ali rizik se smanjuje:
atraumatskom tehnikom
pažljivim očuvanjem sluznice
adekvatnom hemostazom
pravovremenim prepoznavanjem hematoma
pravilnom postoperativnom njegom
Suradnja pacijenta također je važna. U ranoj fazi cijeljenja treba izbjegavati:
mehaničko čišćenje nosa
pušenje
agresivno ispuhivanje nosa
Treba li svaku perforaciju operirati?
Ne.
Mali, asimptomatski defekti često ne zahtijevaju kirurško liječenje.
Operacija dolazi u obzir ako:
simptomi značajno narušavaju kvalitetu života
postoji progresija defekta
konzervativne mjere ne pomažu
Važno je naglasiti da operacija perforacije nije rutinski zahvat – radi se o tehnički zahtjevnoj rekonstrukciji.
Kakva je uspješnost operacije postoperativne perforacije?
Kod postoperativnih perforacija (bez sistemske bolesti ili kokaina), uspješnost je općenito viša nego kod toksičnih uzroka.
U literaturi:
Male perforacije (<1 cm) → 85–95%
Srednje (1–2 cm) → 70–85%
Veće (>2 cm) → 50–75%
Ključ uspjeha je kvalitetna sluznica i stabilno tkivo.
Kada je bolje ne operirati?
Operacija se odgađa ili izbjegava ako:
postoji aktivna upala
tkivo je izrazito ožiljkasto
postoji sumnja na autoimunu bolest
pacijent nema značajne simptome
U takvim slučajevima preporučuje se konzervativna terapija i praćenje.
Zaključak
Perforacija septuma nakon operacije nosa je rijetka, ali moguća komplikacija. Većina defekata je mala i ne zahtijeva zahvat. Kada su simptomi izraženi, kirurška rekonstrukcija može biti vrlo uspješna – uz pravilnu selekciju pacijenta. Ako nakon operacije nosa primjećujete zviždanje, kronične krastice ili ponavljana krvarenja, preporučuje se specijalistički pregled radi precizne dijagnostike.
Pravovremena procjena povećava šansu za uspješno liječenje i sprječava progresiju defekta.
Dr. Marjanović Kavanagh
Vrhunska stručnost u otorinolaringologiji i estetskoj kirurgiji lica. Posvećeni zdravlju, funkciji i estetici.
Brzi linkovi
Početna
O meni
Galerija
Blog
Kontakt
Usluge
Rinoplastika
Kirurgija sinusa
Septoplastika
Kirurgija baze lubanje
Estetika lica
Dječja ORL
© 2026 Dr. Marjanović Kavanagh. Sva prava pridržana.
Postavke kolačića