Testovi prije operacije nosa: Sve što trebate znati
Otkrijte ključne dijagnostičke testove, uključujući endoskopski pregled nosa, akustičnu rinometriju, rinomanometriju i mjerenje nazalnog inspiratornog protoka zraka. Saznajte kako ovi testovi omogućuju preciznu procjenu stanja nosa, identifikaciju problema poput devijacije septuma i olakšavaju planiranje uspješne operacije. Vaš prvi korak prema lakšem disanju i boljim rezultatima započinje pravilnom dijagnozom!
SEPTOPLASTIKARINOSEPTOPLASTIKA
prim. Marcel Marjanović Kavanagh, dr. med. univ. spec. med.
12/22/20242 min čitanje


Testovi prije operacije nosa: Sve što trebate znati
Priprema za operaciju nosa, bilo da se radi o funkcionalnoj ili estetskoj korekciji, zahtijeva detaljnu dijagnostiku kako bi se utvrdilo stanje unutarnjih struktura nosa i procijenila funkcionalnost disanja. Ključnu ulogu u ovom procesu imaju testovi poput endoskopskog pregleda nosa, akustične rinometrije, rinomanometrije i mjerenja nazalnog inspiratornog protoka zraka, koji pružaju cjelovit uvid u anatomske i funkcionalne karakteristike nosa.
Endoskopski pregled nosa
Endoskopski pregled omogućuje liječniku detaljan uvid u unutrašnjost nosa pomoću tankog endoskopa s kamerom. Ovaj pregled pruža preciznu sliku anatomije nosa, uključujući:
Nosnu pregradu (septum) i moguće devijacije.
Prisutnost polipa, zadebljanja sluznice ili drugih anomalija.
Suženja nosnih kanala koja mogu otežavati disanje.
Endoskopija je ključna za otkrivanje strukturalnih problema koji mogu zahtijevati kiruršku korekciju.
Akustična rinometrija: Procjena volumena i oblika nosa
Akustična rinometrija koristi zvučne valove za mjerenje volumena i širine nosnih šupljina. Ovaj test omogućuje:
Otkrivanje suženja unutar nosnih kanala.
Precizan uvid u prostor unutar nosa.
Objektivno praćenje promjena prije i nakon zahvata.
Rinomanometrija: Mjerenje otpora zraka u nosu
Rinomanometrija kvantificira protok zraka kroz nos i mjeri otpor tijekom disanja. Ovaj test je ključan za procjenu funkcionalnosti nosa i otkrivanje:
Koliko je protok zraka ograničen zbog devijacije septuma ili drugih prepreka.
Razlike u funkcionalnosti lijeve i desne nosnice.
Stupnja otežanog disanja uzrokovanog anatomskim problemima.
Mjerenje nazalnog inspiratornog protoka zraka
Ovaj jednostavan i brz test mjeri količinu zraka koja prolazi kroz nos pri svakom udisaju. Pruža podatke o:
Ukupnoj učinkovitosti disanja.
Razlici u funkcionalnosti između nosnica.
Postojanju blokada koje otežavaju disanje.
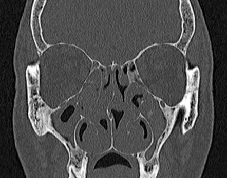
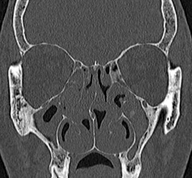
CT (kompjuterizirana tomografija)
U slučajevima kada su potrebne dodatne informacije, CT nosa i sinusa pruža trodimenzionalni prikaz unutrašnjih struktura. Pomaže u otkrivanju:
Precizne lokacije devijacije septuma.
Prisutnosti polipa, cista ili upalnih promjena.
Zašto su ovi testovi važni?
Kombinacija ovih testova pruža sveobuhvatan uvid u stanje nosa:
Endoskopija vizualizira unutrašnjost nosa i otkriva anatomske nepravilnosti.
Akustična rinometrija mjeri volumen i širinu nosnih kanala.
Rinomanometrija analizira protok zraka i otpor u nosu.
Mjerenje inspiratornog protoka zraka procjenjuje funkcionalnost disanja.
Ovi testovi omogućuju preciznu dijagnozu problema poput devijacije septuma, kronične začepljenosti nosa ili drugih prepreka, čime se olakšava planiranje zahvata i povećavaju šanse za uspješan ishod operacije.
Što dalje?
Ako imate simptome poput otežanog disanja, hrkanja ili kronične začepljenosti nosa, javite se. Ovi testovi ključni su za pravilnu procjenu stanja i odabir najboljeg terapijskog pristupa.
Za više informacija ili zakazivanje pregleda, posjetite kontaktirajte nas izravno
Prvi korak prema boljem disanju i funkcionalnijem nosu počinje preciznom dijagnozom!




Dr. Marjanović Kavanagh
Vrhunska stručnost u otorinolaringologiji i estetskoj kirurgiji lica. Posvećeni zdravlju, funkciji i estetici.
Brzi linkovi
Početna
O meni
Galerija
Blog
Kontakt
Usluge
Rinoplastika
Kirurgija sinusa
Septoplastika
Kirurgija baze lubanje
Estetika lica
Dječja ORL
© 2026 Dr. Marjanović Kavanagh. Sva prava pridržana.
Postavke kolačića